Digital X-Rays

Digital X-Rays for Foot and Ankle Care in Lake Zurich, IL

Home › Digital X Rays

Digital X-rays are radiographic images used to identify injury, deformity, and disease affecting the bones and soft tissues of the body. At Alpine Foot Specialists in Lake Zurich IL, we offer in-office digital X-rays to provide immediate imaging and faster diagnoses for our patients. These images are also used to compare pre-operative and post-operative results and to monitor healing after surgery or fractures

Common Conditions Requiring Digital X-Rays

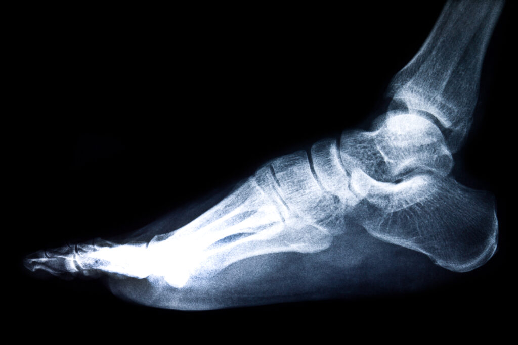
Lateral foot Digital X-Rays showing bones and arch structure for diagnostic evaluation
  • Fractures
  • Flat Feet
  • Arthritis, Gouty Arthritis, Rheumatoid Arthritis
  • Bunion and Hammertoe Deformities
  • Bone Spurs
  • Pediatric Growth Plate Injury or Abnormality
  • Foreign Bodies or Objects such as metal or glass under the skin
    Bone Infection

When X-Rays Are Not Enough

While digital X-rays are excellent for evaluating bone structure and many foot and ankle problems, they are less effective for diagnosing soft tissue conditions involving cartilage, tendons, and ligaments. In these cases, your podiatrist may recommend an MRI for more detailed imaging.

We invite you to call our office with any questions or to schedule an appointment.